Gentry Dental
A Great Dentist

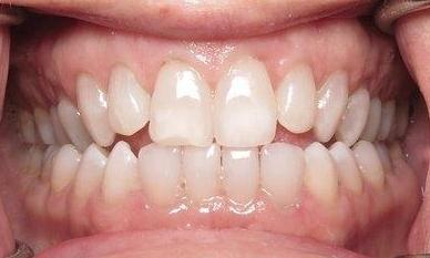
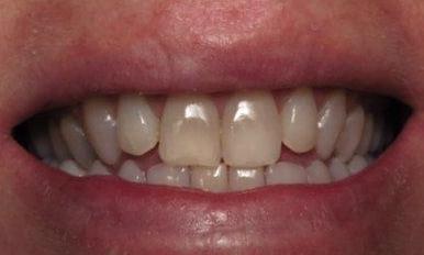
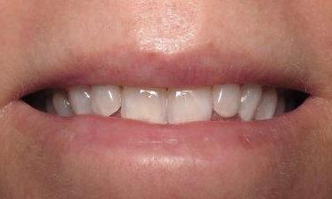
Smile Gallery: Teeth Whitening

Professional Teeth Whitening

To help our patients achieve stunning white smiles we use KöR Whitening. This system utilizes both in-office and take-home treatments that combine to produce amazing results. KöR is known for being able to remove old stubborn stains that other whitening systems are unable to fix. 

Teeth Whitening Before & After Images

With teeth whitening the results often speak for themselves! Take a look through some of the before and after images of Dr. Gentry's patients to see what they were able to achieve. Contact Gentry Dental located in SouthPark, NC to schedule a whitening consultation today! 

Ready to book an appointment?
New Smile Patient Testimonial | Gentry Dental in Charlotte, NC
If you have difficulty using our website, please email us or call us at (704) 554-1007
View the ADA Accessibility Statement