Gentry Dental
A Great Dentist

Replacement Veneers in Charlotte, NC

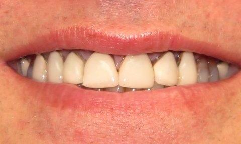
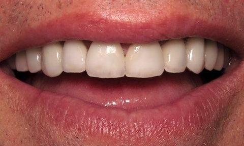
Have you thought about replacing old dental work that is discolored or dark around the edges? This gentleman wanted to replace veneers that were many years old. Dr. Gentry worked with her highly skilled ceramist to design a new and beautiful smile for him. Using proper contours, symmetry, and more life-like characterization, they were able to give this patient the smile he had always wanted! In just a few painless visits, this patient's smile has been completely transformed. See how we can do the same for you and give you the confidence to smile again!
Dated Veneers Before Image | Charlotte NC Dentist Porcelain Veneers After Image | Charlotte NC Dentist
New Smile Patient Testimonial | Gentry Dental in Charlotte, NC
Ready to book an appointment?
If you have difficulty using our website, please email us or call us at (704) 554-1007
View the ADA Accessibility Statement