Skip to main content
Dental Veneers
Design Your Dream Smile with Veneers

Dental veneers improve the appearance of your smile with long-lasting porcelain materials!

Close up of patient getting dental veneers | Charlotte NC Dentist

Dental Veneers in Charlotte, NC

Inside look at gentry dental lobby, charlotte ncDo you wish you had a dazzling Hollywood smile? Many actors and actresses have exceptionally beautiful smiles; however, did you know that most of the smiles we admire have been enhanced?

It’s true!

Most actors are not born with perfectly uniform teeth, and many of their smiles have been improved with porcelain veneers. The good news is that dental veneers are not just for the rich and famous. This procedure is also available to you, and it's probably not as expensive, stressful, or time-consuming as you might think.

Dr. Heather Gentry has the advanced skills and extensive training required to create the smile you’ve always dreamed of, and here’s one of the ways we do it in our South Park, NC dental office with porcelain veneers. 

  • What is a dental veneer?
  • What are the benefits of choosing dental veneers to enhance my smile?
  • What is the process of completing dental veneers?
  • Are dental veneers a permanent solution?
  • How do I take care of my dental veneers?
  • What is the cost of dental veneers?
  • Am I a candidate for dental veneers?

What is a dental veneer?

A dental veneer is made from a thin layer of porcelain that is custom-designed to fit over your natural tooth structure. Charlotte, NC dentist, Dr. Gentry relies on her artistry to create the look and shade of your new veneers, taking into consideration the right shape of your teeth and a color that will complement your skin tone. The end result is a stunning smile you’ll be proud to share with the world!

Orange decorative bird, charlotte ncWhile porcelain veneers can restore just a few teeth, they are best used to redesign your smile. Since they can change the shape, size, and shade of your teeth, they are perfect for eliminating many cosmetic imperfections, such as:

  • Misshapen teeth 
  • Discoloration and staining
  • Wear and fractures
  • Chipped or broken teeth
  • Misaligned teeth
  • Gaps and spacing

Veneers at a Glance

  • The Procedure: A thin, custom-made shell of high-quality porcelain bonded to the front of your natural tooth.
  • Primary Benefits: Corrects gaps, chips, misshapen teeth, and permanent staining that whitening can't fix.
  • Timeline: Most cases take two appointments (1–2 weeks apart), though CEREC same-day technology is available for patients needing faster results.
  • Longevity: With proper home care and regular checkups, veneers typically last 10 to 12 years.
  • Maintenance: No special tools required—simply brush and floss as you normally would.
  • Payment & Financing: We accept cash, credit cards, and offer third-party financing through CareCredit and Cherry (including interest-free options for qualified patients).
  • Exclusive Savings: Members of our In-Office Dental Savings Plan receive a discount on veneer treatments.

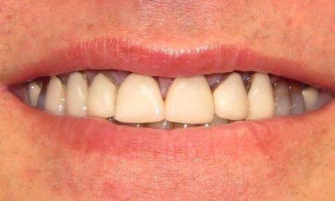
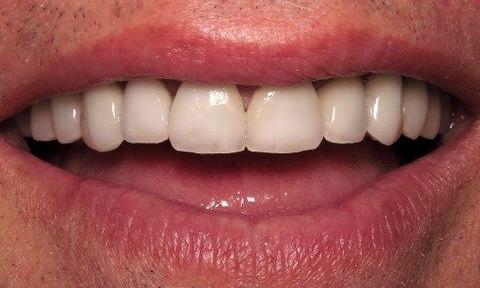
Testimonial - Dental Veneers Patient Testimonial | Gentry Dental Charlotte

Dental Veneers Patient Testimonial | Gentry Dental Charlotte

The patient came to see Dr. Gentry at Gentry Dental to improve his smile and get porcelain Veneers! Very happy with the staff and had a wonderful experience.

"100% happy! It can't be any better."

Find out what we can do for your smile by calling our friendly Charlotte, NC dental office today!
See More Testimonials

What are the benefits of choosing dental veneers to enhance my smile?

White and blue decorative bird, charlotte ncBesides enhancing the appearance of your smile, dental veneers offer several other benefits for patients:

  • Because they’re bonded directly to your tooth, they give it strength and longevity.
  • Veneers don’t require Dr. Gentry to remove very much tooth structure, so they help to preserve most of your natural tooth.
  • Veneers are easy to take care of since you’ll be able to brush and floss like normal.
  • They offer a lot of durability, and with the right home care and regular dental check-ups, they can last for many years.
  • Veneers are also stain-resistant, which means they won't require whitening

What is the process of completing dental veneers?

Achieving your new smile is a reasonably straightforward process. We can typically complete dental veneers during two appointments when Dr. Gentry enlists the talents of a dental lab to craft your restorations. In some cases, she may also use innovative CEREC technology that allows her to create the veneers here in our South Park dental office during one visit. CEREC is ideal for patients who need quick results.

When using a dental lab to create your veneers, Dr. Gentry will prepare your tooth for its new restoration and create a temporary veneer you can wear in the interim. It takes one to two weeks for veneers to be handcrafted at a dental lab, and when they are ready, you'll return to Gentry Dental to have them permanently bonded to your teeth. Dr. Gentry will make any adjustments at this time to ensure that your bite is comfortable and functioning correctly.

Now it's time for you to enjoy your new smile!

Are dental veneers a permanent solution?

There are a few essential factors to understand when you are considering porcelain veneers to enhance your smile. Because dental veneers do require that we remove a small portion of your tooth structure, they are considered a permanent solution for improving your smile. Like other dental restorations, they do not last forever and will need to be replaced after several years.

However, you can increase the longevity of your dental veneers by committing to a diligent home care routine and consistent dental checkups with Dr. Gentry at least twice a year. Dr. Gentry will review all the pros and cons of choosing dental veneers in Charlotte, NC to enhance your smile during your initial evaluation. We want you to feel confident in your selection of dental treatment for your smile.

Frequently Asked Questions

Porcelain veneers in Barclay Downs are an excellent way to repair and enhance your smile. Veneers have a life expectancy of anywhere from seven to twelve years, depending on how well you care for them.

The good news is that dental veneers are typically easy to care for. They're a thin sliver of porcelain that fits over the front of your tooth, so brushing and flossing remain the same. In addition, you can use a soft-bristle toothbrush and non-abrasive toothpaste to avoid scratching the surfaces of your veneers. Whitening toothpaste is often gritty and could cause damage to your veneers.

Routine visits to Dr. Gentry every six months for a teeth cleaning and examination are also helpful for protecting your veneers. She will ensure they're healthy and properly functioning during your tooth examination. In addition, she can also make you aware of problems or concerns early on when it's easier to deal with.

Just like with your natural teeth, avoiding biting directly into hard foods like apples or crusty bread can help prevent you from damaging your veneers. You should also avoid chewing on ice and using your teeth as tools to protect your veneers.  

If you have questions about dental veneers in Charlotte, NC, call Gentry Dental at (704) 554-1007 for more information. 

 

If you are not happy with the appearance of your smile, the good news is that there are some excellent cosmetic options that Dr. Gentry can help you with including:

  • Dental Implants - Excellent for replacing one or multiple missing teeth.Beautiful Smile | Cosmetic Dentist Barclay Downs NC
  • Teeth Whitening - Gentry Dental offers options for both take-home and in-office whitening treatments.
  • Porcelain Veneers - Veneers can give you the "Hollywood" smile you've always dreamed of.
  • Invisible Braces - Invisalign or Six Month Smiles can align your teeth with efficiency and discretion.
  • Tooth Colored Fillings - Can restore the damage caused by tooth decay or repair other small cosmetic issues such as gaps, chipping or discoloration.
  • Full Smile Makeover - A treatment plan designed to address many issues that will return both function and aesthetics to your smile. The plan may include one or a few cosmetic treatment procedures.

Next Steps To Improve Your Smile in Charlotte

If you would like to learn more about what might be possible for your smile, the first step is to schedule a complimentary consultation with Dr. Gentry to discuss your goals for your smile and oral health. Dr. Gentry may take photos and x-rays, and she'll perform a thorough examination to determine your treatment needs. Then she will create a treatment plan that is customized for your specific needs.

A beautiful smile is just a phone call away! Contact Gentry Dental today to schedule your consultation.

  • Heather Gentry DMD

    Originally from Alabama, Dr. Gentry graduated with honors from the University of Alabama School of Dentistry.  After moving to Charlotte in 2008, she planted roots in the community and opened her dental practice in 2014.


    With over 20 years of experience in the dental field, Dr. Gentry brings both expertise and heart to her work. She’s known for her thoughtful, patient-centered approach—delivering high-quality, biocompatible dental care with compassion, integrity, and genuine connection. She believes in taking the time to truly listen, explain, and empower patients to make informed decisions about ...

    Read More

How do I take care of my dental veneers?

Inside view of table in gentry dental lobby, charlotte ncDental veneers become a seamless part of your tooth, and so you'll brush and floss your teeth just as you usually would. Routine dental checkups with Dr. Gentry are also essential for maintaining the health of your teeth and your dental veneers.

Just like with your natural teeth, you'll want to avoid biting into hard foods like apples or crusty bread that could crack your veneers or pull them off. Instead, you can cut hard foods into bite-size pieces that are easy to chew and protect your natural teeth and dental veneers.

With excellent home care and consistent dental checkups and cleanings, your dental veneers can potentially last for 10 to 12 years.

What is the cost of dental veneers?

The cost of dental veneers varies greatly with each patient's unique needs. Dr. Gentry will determine the price for your treatment during your evaluation based on how many veneers are required to create the smile you want. Some treatment plans may include porcelain crowns or other dental services or restorations to craft your ideal smile.

Once Dr. Gentry has created your treatment plan, our financial team can work with you to determine the best way to fit your new smile into your budget. Many patients feel most comfortable with monthly payments that can be achieved by financing with companies like CareCredit or Lending Club. There are even some third-party financing plans that are interest-free for patients who qualify.

Members of our in-office dental savings plan also receive a discount on treatment with dental veneers that can help defray their out-of-pocket cost. Don't hesitate to contact our team to discuss your payment options.

Am I a candidate for dental veneers?

If you’re considering enhancing the appearance of your smile, the first place to start is an evaluation with Dr. Gentry.

Porcelain veneers are only one cosmetic treatment that might be right for your needs. During your consultation, Dr. Gentry spends a lot of time listening to goals and ideas for your smile. She also considers your lifestyle and budget so she can make recommendations for the right treatment to help you achieve your goals.

You might be surprised to learn that you have multiple cosmetic options to choose from. It’s our goal at Gentry Dental to educate you about your teeth and your oral health so you can make decisions about the dental care and treatment that are right for you.

With extensive training in the field of cosmetic dentistry, you can feel excited knowing that whether you choose dental veneers or any other cosmetic dental treatment, Dr. Gentry will help you achieve the results you want. A beautiful smile is just a phone call away! Contact your Charlotte dental office today at (704) 554-1007 to schedule your evaluation with Dr. Gentry.