Gentry Dental
A Great Dentist
Dental Crowns and Bridges
Beautiful Crowns and Bridges

Man smiling in dental chair | Charlotte NC Dentist

Dental Crowns and Bridges in Charlotte, NC

View of gentry dental lobby, charlotte ncA missing or weak tooth complicates things. You discover it’s difficult to chew, emotionally draining to smile, and hard to laugh without feeling self-conscious. At Gentry Dental, our top Charlotte, NC dentist understands these things, and she wants to help you take your smile back.

Dental crowns and bridges offer a practical solution to tooth loss and decay in Charlotte, NC, and it all starts with a compassionate and friendly exam and chat with Dr. Heather Gentry.

If you would like to schedule your consultation, or if you have questions about tooth crowns and dental bridges in Charlotte, NC, we invite you to give us a call at (705) 554-1007.

You can also read through the most popular questions we hear from our patients about dental crowns and bridges below.

  • What is a crown and how does it work?
  • What is a CEREC same-day crown?
  • How do I take care of my crown?
  • What is a dental bridge?
  • Is a bridge right for me?
  • How do I take care of my bridge?
  • Do you accept my insurance?
  • Do you offer payment plans?

Decorative bird, charlotte ncWhat is a dental crown, and how does it work?

Dental crowns are used in general dentistry, cosmetic dentistry, and to stabilize a dental bridge.

These versatile tooth covers fit over a weak, damaged, or otherwise compromised tooth—often the result of trauma or complicated root infection. In this respect, a crown is designed to save your tooth and enable you to chew normally—an example of crowns used in general dentistry.

A dental crown also conceals tooth flaws and discoloration in cosmetic dentistry.

Finally, dental crowns anchor a dental bridge to provide a full smile if you’ve suffered tooth loss.

Crowns in Charlotte, NC are made of high-quality porcelain that will blend in with your natural teeth seamlessly.

Frequently Asked Questions

Porcelain Dental Crown | Charlotte, NC Dental Crown

A dental crown is a common restorative dental procedure. It is frequently used to strengthen a tooth that has been damaged or weakened for any number of reasons.

Also referred to as a tooth “cap” because of the way it snugly fits over a prepared tooth, many people get a crown because they have a large filling that has begun to fail. This often occurs in the back molars. When too much of the tooth has been removed because of the large amount of decay and to make room for a filling, when the tooth fractures, a crown is the only way to protect it.

Getting a crown will restore your ability to chew comfortably again because the crown is designed to withstand the force of chewing—even on the powerful back molars.

Schedule a consultation at Our Charlotte Dental Clinic

At Gentry Dental, we make getting dental crowns in Charlotte, NC easy because we offer CEREC one-day technology. This means your tooth can be prepared, a mold taken, and a crown fabricated all in the same visit. It only takes about 15 minutes for the crown to be made in our milling machine. These high-quality porcelain crowns and strong and durable.

If you need a custom dental crown, contact our Charlotte, NC dental office today!

Dental Crown | Southpark, NC DentistDental crowns are an excellent replacement for a tooth that has been compromised by trauma, decay, or an infection. Crowns are made of high quality porcelain, which is very durable and can potentially last for 10 to 15 years with excellent home care and regular checkups.

They are also designed to provide the function you are used to with your natural tooth. This means that you will be eating, chewing, and smiling with ease with your new tooth. You will also be able to brush and floss your crown as you were used to doing before.

CEREC Technology in Charlotte, NC

Getting a crown used to be quite a process involving at least two long appointments and weeks of waiting for the final restoration to be completed. With innovative CEREC technology, Dr. Gentry is now able to complete the entire crown procedure in only one appointment at our office.

CEREC allows us to design, customize, and mill your crown with high-quality porcelain while you wait. You will enjoy an aesthetically appealing restoration and the same function you had when you leave our office. 

To learn more about dental crowns and how they can benefit you, contact Gentry Dental today!

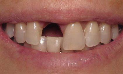
dental bridge for tooth replacement | charlotte ncTooth loss can cause a number of problems and complicate normal activities like eating and speaking, not to mention the negative impact it can have on your self-esteem. You might find yourself hiding your smile when you laugh or holding back a genuine smile.

While dental implants are typically considered the best long-term solution to missing teeth, they are not a solution for everyone. We may recommend a dental bridge in our Southpark, NC dental office for patients who want a non-surgical alternative to dental implants or who have medical limitations that prevent surgery.

What is a dental bridge?

A dental bridge fills the gap in your smile and keeps teeth from shifting, which preserves your bite. Dental bridges look natural, blend in with your smile, and can give you your confidence back. Dental bridges require two special crowns to hold an artificial tooth in place. They are not removable, so you don't have to worry about taking your bridge out at night or losing it. While dental bridges do require some extra attention to maintain, our team at Gentry Dental has seen the life-changing results that a complete smile can provide.

Please Call Our Southpark, NC Dental Office

Contact our Southpark, NC dental office to learn about all of the options we have to replace missing teeth.

How do I take care of my crown?

Taking care of your crown is easy because you treat them the same as natural teeth.

  • Brush and floss daily.
  • Visit our Charlotte, NC dentist twice yearly for exams and our hygienist for cleanings.
  • Never use your crown (or your teeth) as a tool to open a bottle or bend an object.

Remember, dental health is important even if you have restorations. Lack of good oral hygiene and dental exams and cleanings often leads to restoration failure, gum disease, and further tooth loss.

CEREC Machine | Dentist 28210What is a CEREC same-day crown?

The process for getting a crown placed used to require a minimum of two long appointments, and at least two to four weeks of waiting for completion. This does not account for a temporary crown breaking or falling out, which would require additional visits and more time out of your busy schedule.

All this has changed, however, with CEREC same-day crowns in Charlotte, NC, and Dr. Gentry is proud to offer this revolutionary technology to her patients.

CEREC allows us to scan a 3-D image of your tooth, which Dr. Gentry can use to customize and design your new tooth cover. The information is then sent directly to our milling machine located right in our office. Dr. Gentry will custom shade your crown, so it naturally completes your smile, and CEREC will fabricate your new tooth while you wait. The result is that you will leave our office with a beautiful, high-quality restoration.

Our crowns look natural and blend in with your smile.

What is a dental bridge?

When you are missing one or a few teeth that are next to each other, a dental bridge is a good solution.

Dr. Gentry will anchor the dental bridge to your healthy teeth with crowns and use a set of prosthetic teeth to fill in the space left by your missing teeth. Using the artistry and science of dentistry, Dr. Gentry will build a bridge that matches your existing teeth for a natural look.

She can also use dental implants to anchor a dental bridge. Not only will these hold the bridge securely in place, but they will also protect your jawbone from shrinking. This ensures a better fit for a bridge that will also last longer since there will be minimal changes in your jawbone.

You don't have to live with a damaged smile, and you shouldn't when there are options available. Dr. Gentry can discuss crowns and bridges with you so you can make an educated decision about which treatment is best for your needs. If you need a dental crown, we know you’ll love how efficient CEREC technology makes the whole process. 

  • Heather Gentry DMD

    Originally from Alabama, Dr. Gentry graduated with honors from the University of Alabama School of Dentistry.  After moving to Charlotte in 2008, she planted roots in the community and opened her dental practice in 2014.


    With over 20 years of experience in the dental field, Dr. Gentry brings both expertise and heart to her work. She’s known for her thoughtful, patient-centered approach—delivering high-quality, biocompatible dental care with compassion, integrity, and genuine connection. She believes in taking the time to truly listen, explain, and empower patients to make informed decisions about ...

    Read More

Is a bridge right for me?

Dr. Gentry will examine your gum tissue and surrounding teeth to make sure a dental bridge is the best option for you. If the teeth on either side of the gap are significantly compromised, it may be difficult for these teeth to support a dental bridge. In this case, Dr. Gentry may suggest a dental implant, an implant-supported bridge, or a partial denture.

At Gentry Dental, our Charlotte, NC dentist will share all options with you, including any exam findings, so that you can make an informed decision about your tooth replacement options in Charlotte.

Decorative bird side view, charlotte ncHow do I take care of my dental bridge?

Dr. Gentry will provide all after-care instructions to help you make the most of your new dental bridge, including ways to make your bridge last.

For the most part, you will treat your dental bridge the same way you treat your natural teeth.

  • Adopt a good oral hygiene habit to keep your bridge’s supporting teeth in good shape.
  • Visit our dental office regularly for exams and cleanings.
  • Use a floss threader to clean under and around your dental bridge.
  • Never use your dental bridge as a tool to open a bottle or twist off a cap.

Restorations like dental bridges will not prevent gum disease, dental infections, or cavities from forming in remaining teeth.

Do you accept my dental insurance?

At Gentry Dental, accept several insurance plans and are always willing to file claims out of network. Our team is also available to help you make the most of your dental benefits so you can receive treatment sooner rather than later.

If you have questions about your insurance, we encourage you to get in touch with our dental team today.

Do you offer dental payment plans?

Dr. Gentry and her team want you and your family to receive affordable dental care in Charlotte, NC. We offer a few payment plan options to help you do this, and we are always available to answer your questions or address your concerns about the payment plans we accept in our dental office.

First, we have partnered with CareCredit and Lending Club. CareCredit offers easy financing terms and interest-free payment plans to qualifying individuals seeking medical and dental care. It takes only minutes to apply and to learn whether you qualify. Lending Club provides loans with easy financing options, too.

Next, we offer In-Office Dental Savings Plan. For one low fee, you receive the following: Mother and daughter smiling outside, charlotte nc

  • 2 regular teeth cleanings per year
  • 2 comprehensive dental exams per year
  • Periodic x-rays 
  • Oral cancer screening
  • 15 percent off treatments like tooth-colored fillings, crowns, extractions, root canals, periodontal treatment, and more
  • 10 percent off advanced services like dental bridges, Invisalign, specific cosmetic dentistry options, and restorations like dentures and partial dentures.

Other benefits of this plan include:

  • No deductibles
  • No claim to file
  • No pre-authorization
  • No waiting periods—benefits begin immediately
  • No pre-existing condition lockout
  • No health questions

We invite you to contact Gentry Dental to learn more about our In-Office Dental Savings Plan.

Schedule an Exam for Tooth Crowns and Dental Bridges at our Charlotte, NC Office

To learn whether tooth crowns are the best option for you, or whether crowns and bridges together is the right choice to complete your smile, contact our dental team to schedule your exam and chat with Dr. Gentry.

Dental Crowns and Bridges Technology

Zirconia Crown Milling Machine in Charlotte NC

Zirconia Crown Milling Machine

One of our newest technologies this crown milling unit enables us to make very strong Zirconia crowns right here in the office. Zirconia crowns are a cosmetic alternative to gold metal crowns. They are tooth colored, but have similar strength to metal crowns for people with strong bites who break their teeth or regular ceramic crowns. 

CEREC Same-Day Crown Machine | Charlotte NC Dentist

CEREC Same-Day Crowns

CEREC dental technology has completely streamlined the dental crown process. 3-D imaging allows us to scan an image of your tooth that Dr. Gentry can customize and use to fabricate your new crown. The image is sent directly to a milling machine located in our office, which fabricates your crown from high-quality porcelain while you wait.

This means you’ll leave our office the same day with a completely finished, customized restoration that you can enjoy and rely on. With CEREC, what used to take two to four weeks to complete now only takes a few hours!

If you have difficulty using our website, please email us or call us at (704) 554-1007
View the ADA Accessibility Statement
Privacy Policy