Gentry Dental
A Great Dentist
Emergency Services
We Make Time for Your Dental Emergency

Dr. Gentry understands that emergencies happen. Contact us ASAP, and we will help get you treated and out of pain!

Woman smiling while talking on the cell phone | Charlotte NC Dentist

Emergency Dental Services in Charlotte, NC

If there’s one thing you can count on when a dental emergency happens, it’s that it definitely won’t occur during a convenient time! In our Charlotte, NC dental office, we have treated dental emergencies on the eves of big events—the day before a patient’s wedding or baby shower and just before a patient was about to leave town for vacation.

Dental emergencies may also feel frightening and overwhelming. The first thing to do is remain calm, and the next thing you do is contact Gentry Dental. You can reach us by calling 704-554-1007.

Our top emergency dentist in Barclay Downs understands how stressful dental emergencies can be and how important it is to receive prompt treatment. For this reason, we make every effort to accommodate our patients the same day.

When you know how to handle dental emergencies, they may not seem as stressful. Here are some of the most common questions we hear about dental emergencies and a few tips on what you should do if you find yourself injured or in pain.Decorative blue and white bird, charlotte nc

  • Should I go to the emergency room if my tooth is knocked out?
  • What should I expect during my dental emergency appointment?
  • Is a broken or lost restoration a dental emergency?
  • I have any injury to gum tissue. What should I do?
  • What if I have a constant toothache or dental pain?
  • Can you help with my pain?
  • How do dental phobias lead to dental emergencies?
  • How can I prevent dental emergencies?

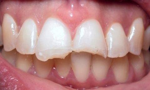
Should I go to the emergency room if my tooth is knocked out?

If your tooth has been severely chipped, broken, or knocked out, contact our Charlotte, NC dental office as soon as possible. If you have sustained a traumatic injury, however, we want you to go to the nearest emergency room. You can contact us from there. 

There are many options when it comes to repairing a broken tooth. In some cases, we may even be able to reattach it.

Dr. Gentry will utilize the best treatment or procedure for your needs. Even if your tooth sustains a small chip, we can usually fix this with a resin material, so it doesn’t irritate your gums, tongue, or other soft tissues.

For a dislodged or knocked-out tooth, time is of the essence, because Dr. Gentry has the best chance of preserving your tooth if we treat it within 1- 2 hours after the injury occurs.

Handle your dislodged tooth delicately. Replacing it back in its socket is best, if possible. Otherwise, carrying it in a cup of milk may work as well and help to keep the cells alive.

Frequently Asked Questions

Dental Emergency | Charlotte, NC DentistDental emergencies can sometimes feel scary or overwhelming, and other times you may not even realize you are in the midst of one. A good rule of thumb, when in doubt, is to always contact your dentist. Let Dr. Gentry determine if you need immediate attention, and if you don't, we can often give you helpful tips for managing your situation over the phone.

Here are some common dental emergencies and what you should do:

  • A tooth knocked out: Contact your dentist immediately. You will need to be seen right away for the best chance of saving your tooth.
  • Dental pain: A constant or severe toothache is often indicating an infection and needs immediate attention.
  • A broken or lost restoration: Contact our office to assess your situation.
  • Soft tissue injuries: Contact our office for further instruction.
  • A broken or chipped tooth: A broken tooth will likely need attention right away. Give your dentist a call. You can likely schedule an appointment to manage a chipped tooth.

Contact Our Charlotte Clinic for Emergency Dental Care

Remember, if you need emergency dentistry in Charlotte, NC, you can always feel free to contact us and we will help get you treated and out of pain. If you are unsure about your condition, feel free to call our office and we can make a plan over the phone.  

Toothache | Charlotte NC DentistA dental abscess is a small pocket filled with pus that is caused by an infection. It can occur at the tip of your root, or in your gums next to your tooth. If it's in the tip of your root, it is typically caused by decay that's been left untreated or trauma caused by an injury or accident. Abscesses occurring in the gums are caused by gum disease.

Some signs or symptoms of an abscess are:

  •     A severe and throbbing toothache that doesn't respond to over-the-counter medication
  •     Pain with the pressure of biting or chewing
  •     Swelling in your face or cheek
  •     Swollen or tender lymph nodes in your neck
  •     Fever
  •     Sensitivity to hot or cold temperatures

What Should I Do if My Tooth Is Abscessed?

If you or a loved one is experiencing any of these symptoms, it is crucial to contact Gentry Dental right away. A dental infection will not go away on its own, and if it's left untreated, it could result in tooth loss.

Contact Our Charlotte, NC Dental Clinic

Dr. Gentry will see you as soon as possible and may perform root canal therapy to eliminate the discomfort and infection your tooth is causing. Contact your emergency dentist in Charlotte, NC right away so we can get you back on the path to wellness.

To a dentist, a "true" dental emergency is an urgent problem that needs attention to save a tooth or relieve your pain. To patients, it's anything that occurs with their oral health that is out of the ordinary—from lost dental crowns and fillings to excruciating toothaches and everything in between.

Emergency Dentist in the 28210 Area

So, your Charlotte, NC emergency dentist Dr. Heather Gentry doesn't want you to spend a moment wondering if you should pick up the phone and call us for emergency dental treatment. We urge you to contact us anytime you have a concern, including any of the following:

  • Toothache
  • Broken tooth
  • Lost dental crown
  • Lost filling
  • Infected tooth
  • Tooth abscess
  • Bleeding gums
  • Loose teeth
  • Knocked-out tooth

When you call us, a knowledgeable member of our dental team will ask about your symptoms to understand what's happening. If you are in pain, or if we think you need immediate treatment for a problem like an infected tooth, we'll see you at our Charlotte, NC dental office the same day.

Otherwise, we will get you on the schedule for our next available appointment and provide instructions for handling your situation until we see you.

Call Our Charlotte, NC Dental Clinic

Please don't hesitate to call us anytime you have a question or concern about your oral health—if it's important to you, it's important to us. Call our Charlotte, NC dental office if you have a dental emergency, and we'll provide the treatment you need so you can get on with your life.

Accidentally stabbing your gums or the roof of your mouth while eating can be both painful and concerning, but it’s not always a dental emergency. Minor injuries typically heal on their own within a few days. To help the healing process, rinse with warm salt water to clean the area and reduce the risk of infection. Applying over-the-counter pain relief or a cold compress can also soothe tenderness and minimize swelling.

However, certain situations require attention from an emergency dentist in Charlotte. If the wound is deep, bleeding doesn’t stop after applying pressure for 10 minutes, or the pain worsens over time, it’s crucial to seek professional care. These symptoms could indicate a more serious injury or an increased risk of infection, which needs immediate treatment to avoid complications.

Call Our Emergency Dentist in Charlotte, NC

If you’re unsure whether your injury requires urgent care, please don’t hesitate to reach out to Gentry Dental. Our experienced team is here to assess your situation and provide the care you need to protect your oral health and keep you comfortable. We invite you to contact us today for assistance with any dental emergency, big or small. Dr. Gentry and our team are here to help!

What should I expect during my dental emergency appointment?

View right inside of door of gentry dental lobby, charlotte ncOur emergency dentist will act fast to reduce your pain and save your smile. Additionally, Dr. Gentry takes a custom approach to emergency dentistry. What happens during your appointment will be based on the nature of your dental emergency.

Some of the treatments or procedures that might take place include dental x-rays and numbing applications.

Dr. Gentry may complete your emergency during this visit or schedule you for a quick follow up.

All decisions are based on what is best for you.  

Is a broken or lost restoration a dental emergency?

As much as we would like them to last forever, unfortunately, dental restorations do break down over time. If you find yourself in a situation where one of your old crowns or fillings has broken or fallen out, contact our Charlotte, NC emergency dentist to have your tooth repaired. A lost restoration could expose your root and cause sensitivity; it can also allow harmful bacteria into your tooth and increase your risk for developing an infection.

Dr. Gentry will determine what is needed to restore your tooth back to optimum health and get you back on the path to wellness.

I have an injury to gum tissue. What should I do?

For injuries to your soft tissues, cheeks, or gums the first thing to do is get the bleeding under control. Applying gentle pressure with a cool compress works best.

If available, warm salt-water rinses are also soothing for soft tissue injuries. Once you control the bleeding, contact our dental office for further instructions and to determine whether you need immediate attention.

Remember, in the event of a trauma, go to the emergency room immediately.

  • Heather Gentry DMD

    Originally from Alabama, Dr. Gentry graduated with honors from the University of Alabama School of Dentistry.  After moving to Charlotte in 2008, she planted roots in the community and opened her dental practice in 2014.


    With over 20 years of experience in the dental field, Dr. Gentry brings both expertise and heart to her work. She’s known for her thoughtful, patient-centered approach—delivering high-quality, biocompatible dental care with compassion, integrity, and genuine connection. She believes in taking the time to truly listen, explain, and empower patients to make informed decisions about ...

    Read More

What if I have a constant toothache or dental pain?

Woman holding her mouth in pain, charlotte ncWhen a cavity or your gums become exposed, an abscess or infection can occur. This can also happen when you have periodontal disease or skip dental exams and cleanings.

Dental infections typically cause severe and constant pain and may start with sensitivity to hot and cold foods and beverages. This may precede one or more of the following:

  • Swelling
  • Fever
  • Blister on gums
  • Bad taste in the mouth

You don’t have to have all these symptoms to have a dental emergency. When in doubt, always contact our dental office.

It’s important to note that dental infections won’t go away on their own; in fact, they get worse over time, putting you at an increased risk for tooth loss and the infection spreading to other areas of your body.

This is another situation where acting quickly is critical. We may be able to preserve your tooth if you contact us right away; however, if an infection is allowed to destroy too much of your root, the only alternative is to extract your tooth.

Can you help with my tooth pain?

Our top Charlotte, NC emergency dentist does not want you to be in pain. Dr. Gentry will work quickly to bring your pain under control and stabilize your emergency. This is always her first priority. Following this, she may complete your care during your emergency dental visit or schedule a later appointment to finish the work.

She can also provide instructions and aftercare tips for you to utilize at home.

How do dental phobias lead to dental emergencies?

Unfortunately, fear of the dentist plays a role in keeping many patients away from the dental care that they need. Many problems such as tooth decay or gum disease don’t cause any pain until the damage has already been done, and then these situations might require more invasive procedures.

Visiting our Charlotte dentist every six months for routine cleanings and check-ups helps to protect your oral health and prevent certain emergency situations.

At Gentry Dental, we offer dental care that is relaxed and gentle, but also comprehensive to meet your needs. Dr. Gentry understands that visiting the dentist is not easy for every patient and she takes the time to listen to your concerns and fears. She also utilizes the latest dental technology to ensure that her patients enjoy efficient and comfortable dental visits.

If you have fears or concerns about visiting the dentist, we encourage you to contact our dental office and schedule time to talk with Dr. Gentry. She can explain your options when it comes to comfortable dental care, and you can see how our dental practice is different

How can I prevent dental emergencies?

While there are many accidents and traumatic situations that you can’t avoid, you can prevent some dental emergencies by being proactive about your oral health.

For example, during your routine preventive visits, Dr. Gentry can detect issues like tooth decay and cavities early on, which can be successfully treated with a dental filling, preventing the decay from progressing into your nerve and causing an infection.

Also, never skip dental cleanings. The American Dental Association recommends two cleanings per year. This is important even if you brush and floss following every meal. Your toothbrush and dental floss cannot reach certain areas. Also, they are not effective against stubborn bacteria or tartar. Our hygienist has dental instruments that clean close to the gumline.

If you participate in sports, another way to protect your teeth and oral health is to wear a mouth guard. A custom guard will offer significantly better protection without interfering with your performance, and they outperform any of the guards you can purchase at your local sporting goods store.

If you have difficulty using our website, please email us or call us at (704) 554-1007
View the ADA Accessibility Statement
Privacy Policy